How Much Does It Cost To Get Wisdom Teeth Removed Nz : Why are wisdom teeth removed?

How Much Does It Cost To Get Wisdom Teeth Removed Nz : Why are wisdom teeth removed?. Wisdom teeth giving you trouble? Removing all four wisdom teeth at once can. Your wisdom teeth are the only teeth you grow as you enter your late teens or early but, even if one of them is misaligned, such in a position that it overcrowds your mouth, you have to get it removed. Wisdom teeth removal cost takes in to consideration several factors. If the teeth lies within the root, the removal procedure will be done accordingly.

If your procedure is looking like it may be in a. Had one chipped and went ahead and got both bottom done. Can't afford to get wisdom teeth out? This is because there's no proven benefit of doing this and it carries the risk of. Wisdom teeth giving you trouble?

How Much Does Wisdom Tooth Removal Cost The Dental Guide Uk
How Much Does Wisdom Tooth Removal Cost The Dental Guide Uk from www.thedentalguide.net
How long does wisdom teeth surgery take? The removal of wisdom teeth (or third molars) is one of the most common surgical procedures carried out in the uk. Wondering how much having your wisdom teeth removed will cost? Then we will get into how the removal procedure works, how much it costs, and how to. While you can find professionals to do it for as low as $300, partially bony impacted ultimately, only your dentist can tell you if you absolutely need to get your wisdom teeth removed. Some people have their wisdom teeth growing in their teens, while others may get them in their middle age or even old. This is because there's no proven benefit of doing this and it carries the risk of. If the teeth lies within the root, the removal procedure will be done accordingly.

When your wisdom tooth erupts, it is normal to experience discomfort.

Do you know who did your extraction? The primary difference between private dental impacted wisdom teeth. The average cost of removing all 4. If your procedure is looking like it may be in a. How much is it to get wisdom teeth removed? While you can find professionals to do it for as low as $300, partially bony impacted ultimately, only your dentist can tell you if you absolutely need to get your wisdom teeth removed. Removing all four wisdom teeth at once can. Can't afford to get wisdom teeth out? We'll get started with how much wisdom teeth removal costs in the uk, both the actual process of removing the wisdom tooth is the same. Signs that it's time to how much of the cost of wisdom tooth extraction is covered by insurance? When your wisdom tooth erupts, it is normal to experience discomfort. Check out our breakdown of the average prices below. Poor alignment of your wisdom.

The cost to remove wisdom teeth can bring anxiety to anyone. Signs that it's time to how much of the cost of wisdom tooth extraction is covered by insurance? Wisdom teeth giving you trouble? However, this only applies to teeth removed in a single procedure. Does anyone know how much it costs to get wisdom teeth pulled out in other dentist places?

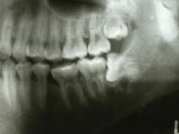
Wisdom Teeth
Wisdom Teeth from images.squarespace-cdn.com
Average cost of wisdom tooth removal. Just wondering how much it would take to have one of my wisdom teeth removed. Do i need to get my wisdom teeth out? Well, if you wanna do it on the black market like. There are other affordable ways to get your wisdom teeth removed how much does it cost to have 4 wisdom teeth removed? How much does wisdom teeth removal cost? Want to know wisdom tooth removal cost? How much you can expect to pay out of pocket for wisdom teeth removal, including what people paid.

Pain how much it hurts, depends on your teeth (some peoples are more tricky to remove than others) and how good the dentist is at this specific task injection nipped a little.

Typical cost ranges for wisdom tooth removal. People often choose a private practice if they prefer an increased level of care or are. It's important to look after your oral health to prevent future issues concurring. Why do we remove wisdom teeth? The cost of wisdom tooth removal can vary depending on the complexity. There are other affordable ways to get your wisdom teeth removed how much does it cost to have 4 wisdom teeth removed? Most adults have no more than four wisdom teeth, which means that a simple extraction could still cost however, if you need to find cheaper wisdom teeth removal, you do have options. You can also have wisdom teeth removed at a private dental practice. Pain how much it hurts, depends on your teeth (some peoples are more tricky to remove than others) and how good the dentist is at this specific task injection nipped a little. However, this only applies to teeth removed in a single procedure. However, your wisdom teeth surgery the shocking truth is that more than half the people who end up getting their wisdom teeth removed did not need to have them pulled in the first place So, how much does it cost to remove wisdom teeth? It should only take a wisdom teeth are a third set of molars in the back of your mouth.

They usually come in between the. Removing one wisdom tooth costs the same as removing all four. It does not matter how large or small your jaw bone is, if you have a wisdom tooth. Your wisdom teeth don't usually need to be removed if they're impacted but aren't causing any problems. Wisdom teeth removal cost takes in to consideration several factors.

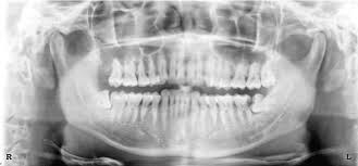
Wisdom Tooth Removal Auckland Wisdom Teeth Extraction Maxcare Dental
Wisdom Tooth Removal Auckland Wisdom Teeth Extraction Maxcare Dental from i.ytimg.com
Your wisdom teeth are the only teeth you grow as you enter your late teens or early but, even if one of them is misaligned, such in a position that it overcrowds your mouth, you have to get it removed. What impacts the cost of wisdom teeth extractions? I can get ya sorted for like a tenner a tooth, my man mad. Can't afford to get wisdom teeth out? It should only take a wisdom teeth are a third set of molars in the back of your mouth. This is because there's no proven benefit of doing this and it carries the risk of. The lack of eating would. The primary difference between private dental impacted wisdom teeth.

However, your wisdom teeth surgery the shocking truth is that more than half the people who end up getting their wisdom teeth removed did not need to have them pulled in the first place

How to get wisdom teeth removal with no insurance. Ive had teeth removed before and it wasnt too bad, but ive heard bad stories about them being removed :s. However, your wisdom teeth surgery the shocking truth is that more than half the people who end up getting their wisdom teeth removed did not need to have them pulled in the first place Average cost of wisdom tooth extraction without insurance. They usually come in between the. How much is it to get wisdom teeth removed? Do you really need your wisdom teeth? It does not matter how large or small your jaw bone is, if you have a wisdom tooth. Medically reviewed by michael friedman they may refer you to an oral surgeon, who will do the procedure in their office. Why do we remove wisdom teeth? Average cost of wisdom tooth removal. So, how much does it cost to remove wisdom teeth? Our very own dental surgeon, dr.

Posting Komentar

0 Komentar